Dental Implant Cost

Dental implants are one of the most advanced and reliable solutions for replacing missing teeth.

Read More

Is Root Canal Painful?

One of the most common concerns patients have is whether a root canal treatment is painful.

Read More

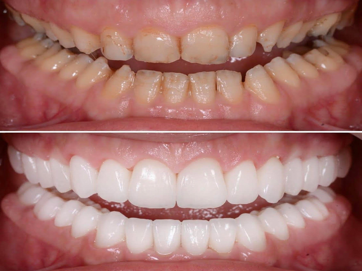
Full Mouth Rehabilitation

Full mouth rehabilitation is a comprehensive, customized dental treatment that restores the health, function, and aesthetics of the entire mouth.

Read More